Q9:神経筋疾患で筋萎縮が著明な患者では,COVID-19ワクチンをどのように接種しますか?
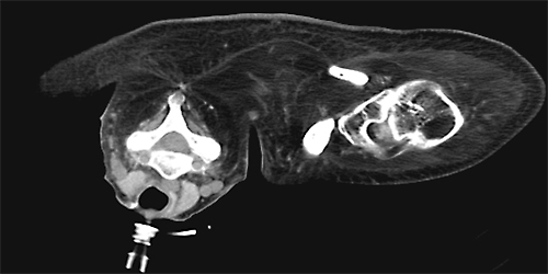
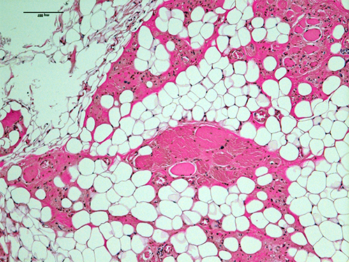
COVID-19ワクチンの適正投与法は筋肉内注射(筋注)とされています.一般的にワクチンの皮下注射は,皮下脂肪層に血管が貧弱で抗原の動員や処理に時間を要するため,筋注に比べて有効性が低く,副反応の発現も多いと言われています1).COVID-19ワクチンでも肥満により皮下注射となった症例で,副反応が強く生じた症例が報告されています2).また,これまでの治験は筋注で実施されており,皮下注射でのエビデンスはありません.このことから,神経筋疾患患者さんにおいてもCOVID-19ワクチンの接種は筋注を原則とすべきです.重症神経筋疾患患者さんでは筋萎縮が著明で,筋注の実施可能性について懸念される方も多いと思います.しかし,筋線維が著明に萎縮・減少していても一定のボリュームを保っていることが多く(図1),ほとんどの患者さんでは筋注が実施可能です.萎縮筋でも血管組織は保たれていることから(図2,3),皮下注射に比べれば安全性・有効性は高いと思われます.このため,国内外の学会や患者会の推奨において,筋萎縮を理由にワクチン接種を勧めないとするものは,渉猟した限り認められません.
一般的に,筋注は小児では大腿前外側部,成人では三角筋外側中央部で行われています.これらの部位のるいそうが高度で接種不能な場合は,全身のどの筋肉でも良いので接種できる筋肉を探します.ただし,普段筋注を行わない筋肉においては,血管や神経の走行に注意が必要です.また高度に萎縮した筋肉の場合,拘縮にも注意が必要になるため,エコーでの検索を行った上で接種することを勧めます.
万一,エコーでも筋肉がまったく同定できない場合,ワクチン接種を受ける機会を維持するための選択肢として皮下注が考えられます(ただし適用外使用です).この場合,通常よりも効果が得にくく,副反応が強く出る可能性があること,エビデンスが無いことについて,患者さん・ご家族にこれらの情報をお伝えし,よく議論した上で,shared decision makingを行うことになります.
また上述の通り,重症神経筋疾患患者さんに対するワクチンの有効性についてはエビデンスが存在しませんので,ワクチン接種後の抗体価および安全性を評価する臨床研究が望まれます.
文献
1. Zuckerman JN. The importance of injecting vaccines into muscle. Br Med J 2000;321: 1237–1238.
2. Gyldenløve M et al. Recurrent injection-site reactions after incorrect subcutaneous administration of a COVID-19 vaccine. J Eur Acad Dermatol Venereol. 2021 May 12. doi: 10.1111/jdv.17341
図1.40歳デュシェンヌ型筋ジストロフィー

気管切開にて呼吸管理,ADL全介助,肩関節自動運動不能.
著明な脂肪置換を認めるも一定の筋ボリュームは存在する.
図2.42歳デュシェンヌ型筋ジストロフィー剖検例 腸腰筋

著明な脂肪変性を認めるが,筋線維も一部残存,血管組織は保存される.
図3.85歳ALS(2年以上total locked in stage)剖検例 腸腰筋

萎縮は顕著も筋線維残存しており血管系も保存される.
